Retina Gallery ~ Full Sized Retina Images

Library of Free, Non-Copyrighted Retina Images and Videos

Choose your language:
Trousseau Sign - CRVO and Pancreatic Cancer
Left eye shows CRVO with severe edema.  The right eye has multiple small hemorrhages.  Some of this is probably anemic retinopathy and some from hypercoaguability of cancer.  The patient has pancreatic cancer.

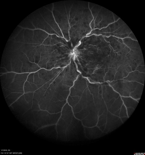
Trousseau Sign - CRVO and Pancreatic Cancer

Left eye shows CRVO with severe edema. The right eye has multiple small hemorrhages. Some of this is probably anemic retinopathy and some from hypercoaguability of cancer. The patient has pancreatic cancer.

crvo1_frho_010716_23.jpg crvo1_frho_010716_24.jpg crvo1_frho_010716_25.jpg crvo1_frho_010716_26.jpg crvo1_frho_010716_27.jpg