Retina Gallery ~ Full Sized Retina Images

Library of Free, Non-Copyrighted Retina Images and Videos

Choose your language:
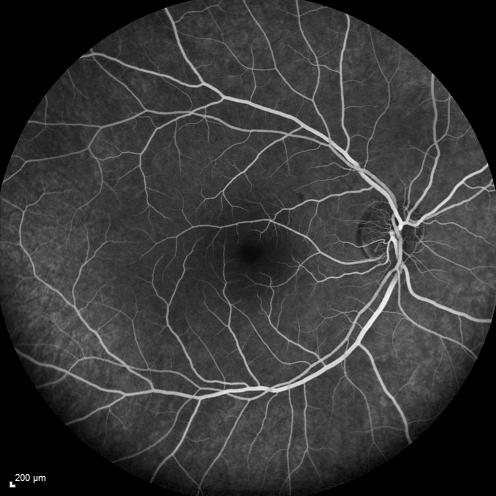
Central retinal artery and vein occlusion - Protein C Deficiency 33 year old male
33 year old male with vision loss for 3 hours.  VA 20/12 right eye, 5/200 left eye.  He has a protein C deficiency.  The left eye recovered vision in about 1 month to 20/16.  FA shows very slow recirculation time.

Central retinal artery and vein occlusion - Protein C Deficiency 33 year old male

33 year old male with vision loss for 3 hours. VA 20/12 right eye, 5/200 left eye. He has a protein C deficiency. The left eye recovered vision in about 1 month to 20/16. FA shows very slow recirculation time.

crao_vo_daep_041516_12.JPG crao_vo_daep_041516_13.JPG crao_vo_daep_041516_14.jpg crao_vo_daep_041516_15.jpg crao_vo_daep_041516_16.jpg