Retina Gallery ~ Full Sized Retina Images

Library of Free, Non-Copyrighted Retina Images and Videos

Choose your language:
Juxtafoveal Telangiectasis - After Hemorrhage Absorbed Right Eye with Avastin Injections
73-year-old woman has juxtafoveal retinal telangiectasis in both eyes.  The right eye has stage 5 disease.  Her last Avastin treatment in the right eye was in 6 months ago.  The right eye has been the worst of her two eyes for years.

VISUAL ACUITY: Vision OD is 20/200, OS is 20/50.

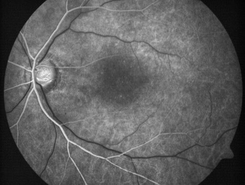
Juxtafoveal Telangiectasis - After Hemorrhage Absorbed Right Eye with Avastin Injections

73-year-old woman has juxtafoveal retinal telangiectasis in both eyes. The right eye has stage 5 disease. Her last Avastin treatment in the right eye was in 6 months ago. The right eye has been the worst of her two eyes for years.

VISUAL ACUITY: Vision OD is 20/200, OS is 20/50.

ijrt0611_nelu10.jpg ijrt0611_nelu11.jpg ijrt0611_nelu12.jpg ijrt0611_nelu13.jpg ijrt0611_nelu14.jpg