Retina Gallery ~ Full Sized Retina Images

Library of Free, Non-Copyrighted Retina Images and Videos

Choose your language:
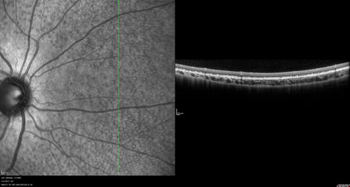
Fundus Albipunctatus
12 year old female with normal vision.  She has 4 siblings all of whom have either white spots or spots on IR.  Genetic testing by parents was deferred.

Fundus Albipunctatus

12 year old female with normal vision. She has 4 siblings all of whom have either white spots or spots on IR. Genetic testing by parents was deferred.

albipunctata_mijo_073117_20.jpg albipunctata_mijo_073117_21.jpg albipunctata_mijo_073117_23.jpg albipunctata_mijo_073117_22.jpg albipunctata_mijo_073117_24.jpg