Retina Gallery ~ Full Sized Retina Images
Library of Free, Non-Copyrighted Retina Images and Videos
Home
Contact
About Us
Register
Login
Album list
Last uploads
Last comments
Most viewed
Top rated
My Favorites
By date
Search
FAQ
Choose your language:
FILE 28/30
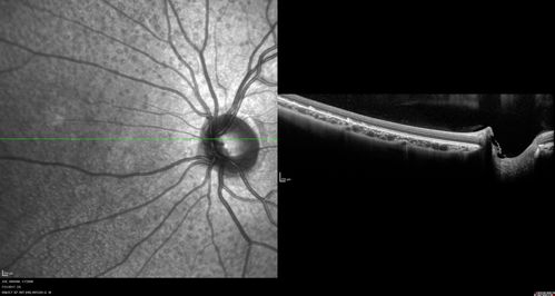
Fundus Albipunctatus
12 year old female with normal vision. She has 4 siblings all of whom have either white spots or spots on IR. Genetic testing by parents was deferred.
File information
Filename:
albipunctata_mijo_073117_27.jpg
Album name:
scohen125
/
Retinitis Punctata Albescens - Fundus Albipunctatus
Filesize:
1388 KiB
Date added:
Mar 12, 2018
Dimensions:
3072 x 1636 pixels
Displayed:
465 times
URL:
https://retinagallery.com/displayimage.php?pid=10652
Favorites:
Add to Favorites