Retina Gallery ~ Full Sized Retina Images
Library of Free, Non-Copyrighted Retina Images and Videos
Home
Contact
About Us
Register
Login
Album list
Last uploads
Last comments
Most viewed
Top rated
My Favorites
By date
Search
FAQ
Choose your language:
FILE 23/27
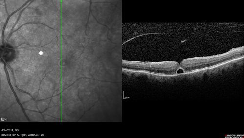
Vitreomacular Traction -> Macular Hole -> Aborted Macular hole
Progression of VMT in both eyes over time
File information
Filename:
Abort_betu5_042414_29~0.jpg
Album name:
scohen125
/
Vitreomacular Traction -> Macular Hole -> Aborted Macular Hole
Filesize:
588 KiB
Date added:
Dec 20, 2018
Dimensions:
1536 x 868 pixels
Displayed:
437 times
URL:
https://retinagallery.com/displayimage.php?pid=11595
Favorites:
Add to Favorites