Retina Gallery ~ Full Sized Retina Images

Library of Free, Non-Copyrighted Retina Images and Videos

Choose your language:
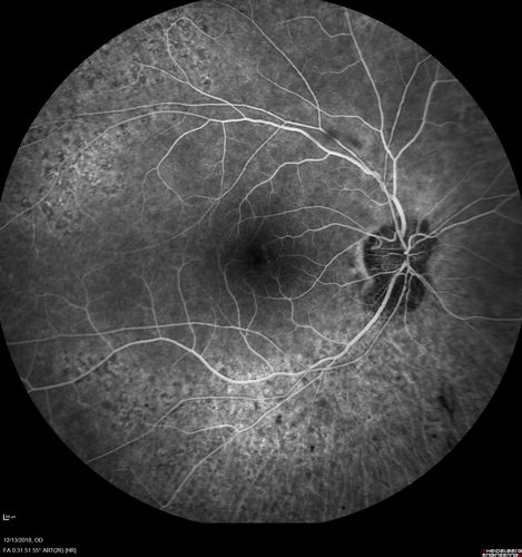
Retinitis Pigmentosa with Cystoid Macular Edema responsive to topical carbonic anhydrase inhibitors
67 year old female  She thought it was time to have her glasses changed.She has no family history of reitnal disease and has never been diagnosed with a problem.   She started having night vision trouble the last year.  Two sisters and a brother with normal vision.  
VA OD: Dcc20/40-2 NccJ3
VA OS: Dcc20/20 NccJ1
IOP: TP: OD:9

Retinitis Pigmentosa with Cystoid Macular Edema responsive to topical carbonic anhydrase inhibitors

67 year old female She thought it was time to have her glasses changed.She has no family history of reitnal disease and has never been diagnosed with a problem. She started having night vision trouble the last year. Two sisters and a brother with normal vision.
VA OD: Dcc20/40-2 NccJ3
VA OS: Dcc20/20 NccJ1
IOP: TP: OD:9

RP-cme_mapr_121318_10.jpg RP-cme_mapr_121318_12.jpg RP-cme_mapr_121318_14.jpg RP-cme_mapr_121318_13.jpg RP-cme_mapr_121318_15.jpg