Retina Gallery ~ Full Sized Retina Images

Library of Free, Non-Copyrighted Retina Images and Videos

Choose your language:
PDR and DME and VH
57 year old diabetic man with vision loss in the left eye for several months.  He has DME in the left eye and VH in the left eye and PDR in both eyes.  He has been started in the left eye on Anti-VEGF therapy. VA on presentation was 20/25 OD and 20/200 OS

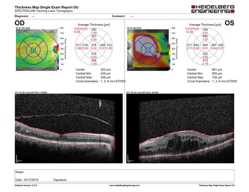
PDR and DME and VH

57 year old diabetic man with vision loss in the left eye for several months. He has DME in the left eye and VH in the left eye and PDR in both eyes. He has been started in the left eye on Anti-VEGF therapy. VA on presentation was 20/25 OD and 20/200 OS

PDR-DME_arste_100719_03.jpg PDR-DME_arste_100719_04.jpg PDR-DME_arste_100719_05.JPG PDR-DME_arste_100719_06.jpg PDR-DME_arste_100719_07.jpg