Retina Gallery ~ Full Sized Retina Images
Library of Free, Non-Copyrighted Retina Images and Videos
Home
Contact
About Us
Register
Login
Album list
Last uploads
Last comments
Most viewed
Top rated
My Favorites
By date
Search
FAQ
Choose your language:
FILE 11/29
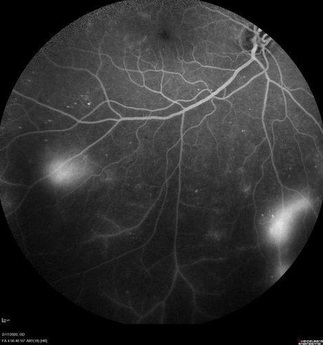
PDR and Vitreous Hemorrhage - High Risk Left Eye - Low Risk Right Eye
50 year old man with type I diabetes mellitus for 26 years. New Vitreous Hemorrhage in the left eye. Both eyes have NVE. Both also have foveal hypoplasia
File information
Filename:
pdr_fovealhypoplasia_joaus_021720_13.jpg
Album name:
scohen125
/
Vitreous Hemorrhage and Proliferative Diabetic Retinopathy - Low risk right eye - High Risk Left Eye - Also Fovea Plana
Filesize:
1356 KiB
Date added:
Mar 07, 2020
Dimensions:
1536 x 1636 pixels
Displayed:
344 times
URL:
https://retinagallery.com/displayimage.php?pid=13535
Favorites:
Add to Favorites