Retina Gallery ~ Full Sized Retina Images

Library of Free, Non-Copyrighted Retina Images and Videos

Choose your language:
Geographic Atrophy and Age-Related Macular Degeneration - Choriocapillaris is Largely Still Intact
85-year-old woman has age-related macular degeneration in both eyes with geographic atrophy.  She has noticed her vision getting slightly worse in the past 6 months. VISUAL ACUITY:  OD 20/70, OS 20/400

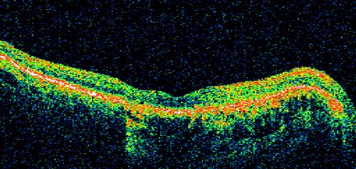
Geographic Atrophy and Age-Related Macular Degeneration - Choriocapillaris is Largely Still Intact

85-year-old woman has age-related macular degeneration in both eyes with geographic atrophy. She has noticed her vision getting slightly worse in the past 6 months. VISUAL ACUITY: OD 20/70, OS 20/400

gat_elra_28629.png gat_elra_28729.png gat_elra_28829.jpg gat_elra_28929.jpg gat_elra_281029.jpg