Retina Gallery ~ Full Sized Retina Images

Library of Free, Non-Copyrighted Retina Images and Videos

Choose your language:
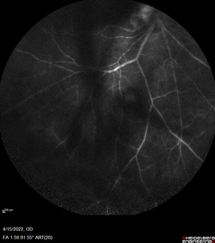
Toxoplasmosis right eye with diffuse retinal vascular whitening PCR confirmed
66 year old man The patient was doing fine until about 2-3 months ago.  He woke up with shadows and spots in the right eye.  Every blue moon he gets some pain in the right eye.  He has been getting treated with eye drops in the right eye.  Since this happened the vision is mostly the same.  Sometimes he sees better than other times.  He has not been treated with oral medications.  
Medical history: none – Medications: none, ROS negative
VA OD: sc20/63-1 OS: sc20/20 
IOP: TP: OD:15 OS:20 
Negative labs: ACE, Lysozyme, RPR, HLA B27, Quant TB Gold, ESR (slight elevation of CRP)
PCR anterior chamber: negative herpes virus (HSV, VZV, CMV)
Positive for toxoplasmosis

Toxoplasmosis right eye with diffuse retinal vascular whitening PCR confirmed

66 year old man The patient was doing fine until about 2-3 months ago.  He woke up with shadows and spots in the right eye.  Every blue moon he gets some pain in the right eye.  He has been getting treated with eye drops in the right eye.  Since this happened the vision is mostly the same.  Sometimes he sees better than other times.  He has not been treated with oral medications.  
Medical history: none – Medications: none, ROS negative
VA OD: sc20/63-1 OS: sc20/20
IOP: TP: OD:15 OS:20 
Negative labs: ACE, Lysozyme, RPR, HLA B27, Quant TB Gold, ESR (slight elevation of CRP)
PCR anterior chamber: negative herpes virus (HSV, VZV, CMV)
Positive for toxoplasmosis

toxo_alwri1_041522_21.jpg toxo_alwri1_041522_22.jpg toxo_alwri1_041522_23.jpg toxo_alwri1_041522_24.jpg toxo_alwri1_041522_25.jpg