Retina Gallery ~ Full Sized Retina Images
Library of Free, Non-Copyrighted Retina Images and Videos
Home
Contact
About Us
Register
Login
Album list
Last uploads
Last comments
Most viewed
Top rated
My Favorites
By date
Search
FAQ
Choose your language:
FILE 63/64
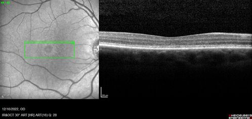
Stargardt Disease - Very Mild - 24 year old
This patient has 3 different ABCA4 mutations. His mother and sister have stargardts and his father has RP. His sisters images are also on Retinagallery.com
File information
Filename:
stargardt-mild_pacai_121622_64.jpg
Album name:
scohen125
/
Stargardt Sibling - ABCA4 3 mutations
Filesize:
93 KiB
Date added:
Mar 19, 2023
Dimensions:
1264 x 596 pixels
Displayed:
201 times
URL:
https://retinagallery.com/displayimage.php?pid=16818
Favorites:
Add to Favorites