Retina Gallery ~ Full Sized Retina Images

Library of Free, Non-Copyrighted Retina Images and Videos

Choose your language:
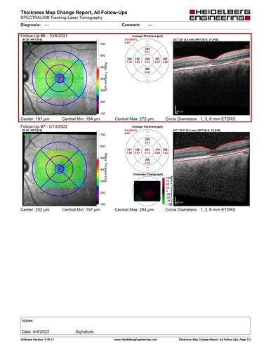
Central Serous Chorioretinopathy - Expanding hot spot - photodynamic laser
35 year old man with acute central serous chorioretinopathy.  The fluid got better then worse and the patient was treated with full strength juxtafoveal PDT and then got better.

Central Serous Chorioretinopathy - Expanding hot spot - photodynamic laser

35 year old man with acute central serous chorioretinopathy. The fluid got better then worse and the patient was treated with full strength juxtafoveal PDT and then got better.

CSR_matho4_100821_44.jpg CSR_matho4_100821_45.JPG newestmaps28129.JPG newestmaps28029.JPG newestmaps28229.JPG