Retina Gallery ~ Full Sized Retina Images
Library of Free, Non-Copyrighted Retina Images and Videos
Home
Contact
About Us
Register
Login
Album list
Last uploads
Last comments
Most viewed
Top rated
My Favorites
By date
Search
FAQ
Choose your language:
FILE 17/22
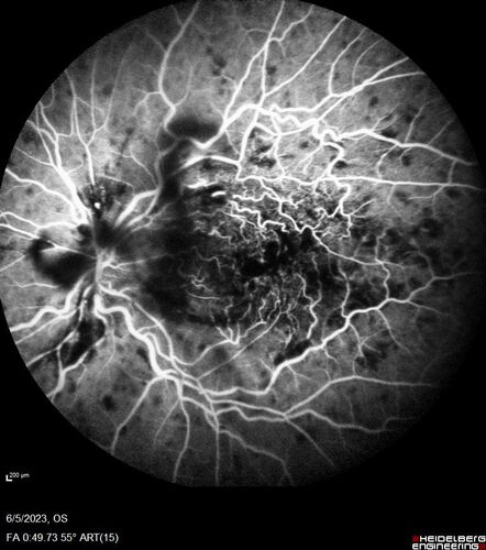
central retinal vein occlusion - a lot of hemorrhage - on coumadin
84 year old man with severe vision loss left eye for 2 weeks. VA 5/200 OS - Patient on Warfarin for valve replacement.
File information
Filename:
CRVO_jomer_060623_17.jpg
Album name:
scohen125
/
CRVO with Edema - Hemorrhage on Warfarin
Filesize:
97 KiB
Date added:
Jul 03, 2023
Dimensions:
768 x 868 pixels
Displayed:
227 times
URL:
https://retinagallery.com/displayimage.php?pid=17157
Favorites:
Add to Favorites