Retina Gallery ~ Full Sized Retina Images
Library of Free, Non-Copyrighted Retina Images and Videos
Home
Contact
About Us
Register
Login
Album list
Last uploads
Last comments
Most viewed
Top rated
My Favorites
By date
Search
FAQ
Choose your language:
FILE 20/24
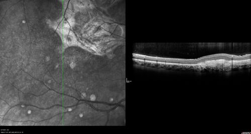
PIC which evolved into Subretinal Fibrosis
27 year old female VA 20/200 right eye 20/20 left eye. Right was treated with lucentis. When extended to 3 months, the fibrosis got much worse
File information
Filename:
pic2_jewal_06072021_03.jpg
Album name:
scohen125
/
PIC with subretinal fibrosis
Filesize:
309 KiB
Date added:
Sep 17, 2023
Dimensions:
3072 x 1636 pixels
Displayed:
149 times
URL:
https://retinagallery.com/displayimage.php?pid=17382
Favorites:
Add to Favorites