Retina Gallery ~ Full Sized Retina Images
Library of Free, Non-Copyrighted Retina Images and Videos
Startseite
Kontakt
About Us
Registrieren
Anmelden
Albenliste
Neueste Uploads
Neueste Kommentare
Am meisten angesehen
Am besten bewertet
Meine Favoriten
Nach Datum
Suche
FAQ
Wähle Sprache:
Datei 12/26
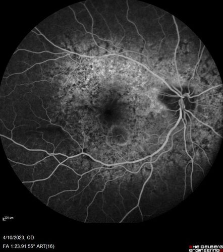
Bietti's Crystalline Dystrophy - CYP4V2 homozygous
58-year-old-female (from Thailand)
Patient had evaluation for LASIK and there was concern that the BCVA was not normal.
PMHx Benign, Meds: none
VA 20/25 OU
Datei-Information
Dateiname:
biette_115007_041023_14.jpg
Name des Albums:
scohen125
/
Bietti's Crystalline Dystrophy - CYP4V2 homomzygous
Dateigröße:
78 KB
Hinzugefügt am:
06. Januar 2024
Abmessungen:
768 x 868 Pixel
Angezeigt:
102 mal
URL:
https://retinagallery.com/displayimage.php?pid=17536
Favoriten:
zu Favoriten hinzufügen