Retina Gallery ~ Full Sized Retina Images

Library of Free, Non-Copyrighted Retina Images and Videos

Choose your language:
Serpiginous choroiditis in the right eye
68 year old female with spots in vision in the right eye for 2 months.  She has a history of MS.  The vision is 20/32 in both eyes.  She was treated with high dose steroids and transitioned to methotrexate and the right eye quieted  down.

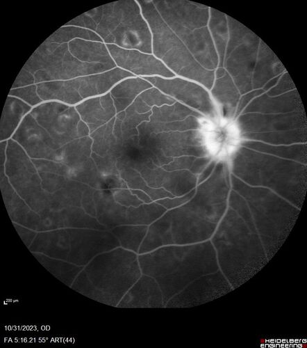
Serpiginous choroiditis in the right eye

68 year old female with spots in vision in the right eye for 2 months. She has a history of MS. The vision is 20/32 in both eyes. She was treated with high dose steroids and transitioned to methotrexate and the right eye quieted down.

serpiginous_117484_103123_17.jpg serpiginous_117484_103123_18.jpg serpiginous_117484_103123_19.jpg serpiginous_117484_103123_20.jpg serpiginous_117484_103123_21.jpg