Retina Gallery ~ Full Sized Retina Images
Library of Free, Non-Copyrighted Retina Images and Videos
Home
Contact
About Us
Register
Login
Album list
Last uploads
Last comments
Most viewed
Top rated
My Favorites
By date
Search
FAQ
Choose your language:
FILE 15/58
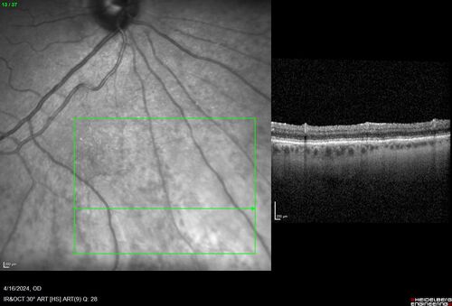
Posterior Pigment Dispersion Syndrome
81 year old man with cataract surgery 30 years ago and normal vision who had bilateral vitrectomy for dense floaters and has pigment on his IOL surface and all over the retina (but not on the cornea) VA 20/25 OU
File information
Filename:
pigment_114546_16.jpg
Album name:
scohen125
/
Posterior Pigment Dispersion Syndrome
Filesize:
105 KiB
Date added:
Apr 20, 2024
Dimensions:
1280 x 868 pixels
Displayed:
110 times
URL:
https://retinagallery.com/displayimage.php?pid=17852
Favorites:
Add to Favorites