Retina Gallery ~ Full Sized Retina Images
Library of Free, Non-Copyrighted Retina Images and Videos
Inicio
Contacto
About Us
Regístrate
Entrar
Lista de álbumes
Últimos archivos
Últimos comentarios
Más vistos
Más valorados
Mis favoritos
Por fecha
Buscar
FAQ
Elige idioma:
Archivo 11/31
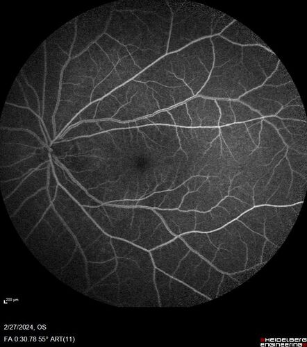
Syphilitic Chorioretinitis
41 year old man with vision loss for five days left eye. VA 20/32, 20/200
Informacion de archivo
Nombre del archivo:
syphilis1_119238_022724_11.jpg
Nombre de álbum:
scohen125
/
Syphilitic Chorioretinitis Both Eyes
Tamaño del archivo:
105 KiB
Fecha añadida:
Septiembre 18, 2024
Dimensiones:
768 x 868 píxeles
Visto:
123 visitas
URL:
https://retinagallery.com/displayimage.php?pid=18175
Favoritos:
Añadir a favoritos