Retina Gallery ~ Full Sized Retina Images
Library of Free, Non-Copyrighted Retina Images and Videos
Home
Contact
About Us
Register
Login
Album list
Last uploads
Last comments
Most viewed
Top rated
My Favorites
By date
Search
FAQ
Choose your language:
FILE 17/24
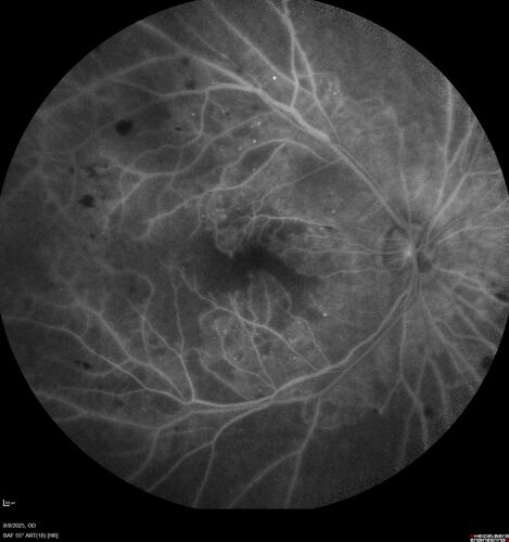
NPDR and Severe macular ischemia sudden vision loss
60 year old female with sudden vision loss OD 1 week ago. VA 20/63, 20/200. OCT-A and FA shows severe macular ischemia OU
File information
Filename:
DR-Macular-Ischemia_126599_080825_18.jpg
Album name:
scohen125
/
Severe Macular Ischemia
Filesize:
1348 KiB
Date added:
Jan 11, 2026
Dimensions:
1536 x 1636 pixels
Displayed:
89 times
URL:
https://retinagallery.com/displayimage.php?pid=18907
Favorites:
Add to Favorites