Retina Gallery ~ Full Sized Retina Images

Library of Free, Non-Copyrighted Retina Images and Videos

Elige idioma:
Cotton Wool Spots following cardio-pulmonary bypass
The patient had emergency thoracotomy about 3 weeks ago he had an aortic dissection with a root aneurysm. It had dissected down to the iliacs. The patient had a thoracotomy and aortic valve replacement and large aortic graft.

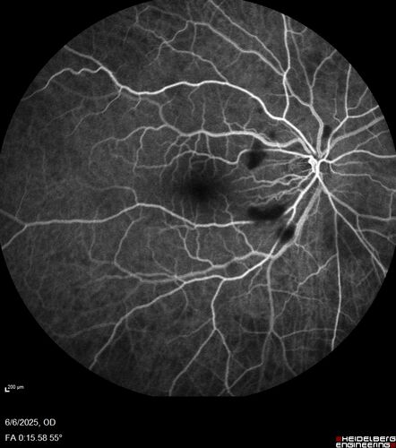
Cotton Wool Spots following cardio-pulmonary bypass

The patient had emergency thoracotomy about 3 weeks ago he had an aortic dissection with a root aneurysm. It had dissected down to the iliacs. The patient had a thoracotomy and aortic valve replacement and large aortic graft.

CWS_postAorticDissection_125569_060625_12.jpg CWS_postAorticDissection_125569_060625_13.jpg CWS_postAorticDissection_125569_060625_14.jpg CWS_postAorticDissection_125569_060625_15.jpg CWS_postAorticDissection_125569_060625_16.jpg