Retina Gallery ~ Full Sized Retina Images
Library of Free, Non-Copyrighted Retina Images and Videos
Home
Contact
About Us
Register
Login
Album list
Last uploads
Last comments
Most viewed
Top rated
My Favorites
By date
Search
FAQ
Choose your language:
FILE 6/8
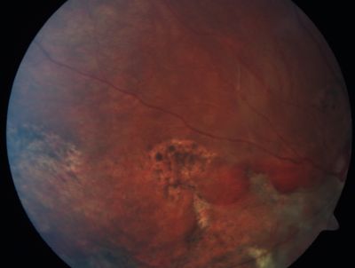
Sclopteria Chorioretinitis - 16 Year Old Girl - Pellet Injury
File information
Filename:
sclopteria_63492_28229.jpg
Album name:
scohen125
/
Sclopteria Chorioretinitis - Pellet Injury
Keywords:
trauma
/
scar
/
sclopteria chorioretinitis
/
non-penetrating
/
non-perforating
Filesize:
218 KiB
Date added:
Oct 27, 2010
Dimensions:
2588 x 1958 pixels
Displayed:
746 times
URL:
https://retinagallery.com/displayimage.php?pid=85
Favorites:
Add to Favorites