Retina Gallery ~ Full Sized Retina Images

Library of Free, Non-Copyrighted Retina Images and Videos

Choisissez votre langue:
Serpiginouse Choroiditis (Chorioretinitis) - Acute Right Eye - Old Left Eye VA 20/25 OD , 20/50 OS
63-year-old woman has serpiginous choroiditis (date - March 2011).  The right eye has not been previously involved, and then she noticed new onset floaters in the right eye for the last two weeks.  Her vision in the right eye is hazy because of that.

VISUAL ACUITY:  Vision OD is 20/25, OS is 20/50

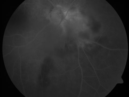
Serpiginouse Choroiditis (Chorioretinitis) - Acute Right Eye - Old Left Eye VA 20/25 OD , 20/50 OS

63-year-old woman has serpiginous choroiditis (date - March 2011). The right eye has not been previously involved, and then she noticed new onset floaters in the right eye for the last two weeks. Her vision in the right eye is hazy because of that.

VISUAL ACUITY: Vision OD is 20/25, OS is 20/50

serpig_maba21.jpg serpig_maba22.jpg serpig_maba23.jpg serpig_maba24.jpg serpig_maba26.jpg