Retina Gallery ~ Full Sized Retina Images

Library of Free, Non-Copyrighted Retina Images and Videos

Choose your language:
Stargardt's Disease - Macular Dystrophy - 69 Year Old African American Male - 20/200 both eyes
69-year-old man has had vision loss in both eyes starting 20 years ago. He was diagnosed at one point with Stargardt’s macular dystrophy.  When I saw him, he had retinal atrophy in each eye. 
Vision is 20/200 in each eye

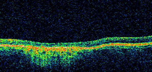
Stargardt's Disease - Macular Dystrophy - 69 Year Old African American Male - 20/200 both eyes

69-year-old man has had vision loss in both eyes starting 20 years ago. He was diagnosed at one point with Stargardt’s macular dystrophy. When I saw him, he had retinal atrophy in each eye.
Vision is 20/200 in each eye

stargartsgeographicatrophy_waja14.jpg stargartsgeographicatrophy_waja15.jpg stargartsgeographicatrophy_waja16.jpg stargartsgeographicatrophy_waja17.jpg stargartsgeographicatrophy_waja18.jpg