Retina Gallery ~ Full Sized Retina Images
Library of Free, Non-Copyrighted Retina Images and Videos
Home
Contact
About Us
Register
Login
Album list
Last uploads
Last comments
Most viewed
Top rated
My Favorites
By date
Search
FAQ
Choose your language:
FILE 3/9
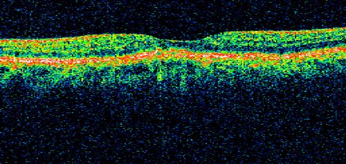
Basal Laminar (cuticular) Drusen both eyes 60 Year Old Woman
60-year-old woman with minimal vision loss. Vision OD is 20/30 OS 20/40
File information
Filename:
basallaminardrusen_yoar03.jpg
Album name:
scohen125
/
Drusen - Basal Laminar Drusen 60 Year Old Woman
Rating (1 votes):
(
Show details
)
Filesize:
111 KiB
Date added:
Jun 20, 2011
Dimensions:
689 x 329 pixels
Displayed:
581 times
URL:
https://retinagallery.com/displayimage.php?pid=2686
Favorites:
Add to Favorites