Retina Gallery ~ Full Sized Retina Images
Library of Free, Non-Copyrighted Retina Images and Videos
Accueil
Contact
About Us
Inscription
Connexion
Albums
Derniers ajouts
Derniers commentaires
Les plus populaires
Les mieux notées
Mes favoris
Par date
Rechercher
FAQ
Choisissez votre langue:
Photo 26/26
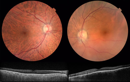
Sturge-Weber with Choroidal Hemangioma Left Eye
VA 20/25 OU. Left eye treated for glaucoma with drops.
Informations sur l'image
Nom du fichier:
sturgeweberOS.jpg
Nom de l'album:
scohen125
/
Sturge-Weber Encephalotrigeminal Angiomatosis
Taille du fichier:
2453 Ko
Date d'ajout:
29 Janvier 2018
Dimensions:
2882 x 1821 pixels
Affichées:
643 fois
URL:
https://retinagallery.com/displayimage.php?pid=10458
Favoris:
Ajouter aux favoris