Retina Gallery ~ Full Sized Retina Images

Library of Free, Non-Copyrighted Retina Images and Videos

Choose your language:
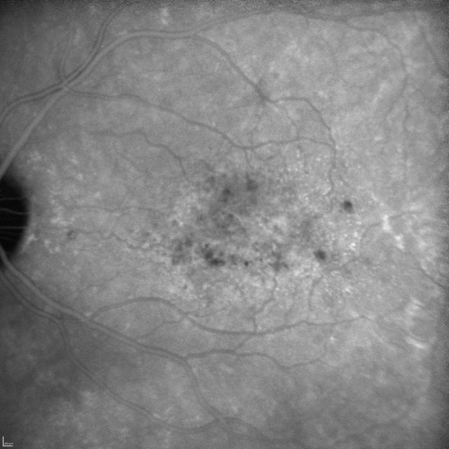
Cuticular Drusen (Basal Laminar Drusen) and Bilateral Chronic Subfoveal Fluid (Serous Retinal Detachment) unresponsive to monthly Avastin - ICG OS
66-year-old man with bilateral subfoveal fluid unresponsive to one year of monthly avastin therapy.
OD 20/160,  Pinhole 20/80.   OS 20/63,  Pinhole 20/50.  OCT scan shows subretinal fluid with normal choroidal thickness.  Fluorescein angiogram shows cuticular/basal laminar drusen.  ICG shows no foci of choriocapillaris leakage.

Cuticular Drusen (Basal Laminar Drusen) and Bilateral Chronic Subfoveal Fluid (Serous Retinal Detachment) unresponsive to monthly Avastin - ICG OS

66-year-old man with bilateral subfoveal fluid unresponsive to one year of monthly avastin therapy.
OD 20/160, Pinhole 20/80. OS 20/63, Pinhole 20/50. OCT scan shows subretinal fluid with normal choroidal thickness. Fluorescein angiogram shows cuticular/basal laminar drusen. ICG shows no foci of choriocapillaris leakage.

serousrdreticulardrusen_lost34.png serousrdreticulardrusen_lost35.png serousrdreticulardrusen_lost36.png serousrdreticulardrusen_lost37.png serousrdreticulardrusen_lost38.png