Retina Gallery ~ Full Sized Retina Images
Library of Free, Non-Copyrighted Retina Images and Videos
Home
Contact
About Us
Register
Login
Album list
Last uploads
Last comments
Most viewed
Top rated
My Favorites
By date
Search
FAQ
Choose your language:
FILE 3/6
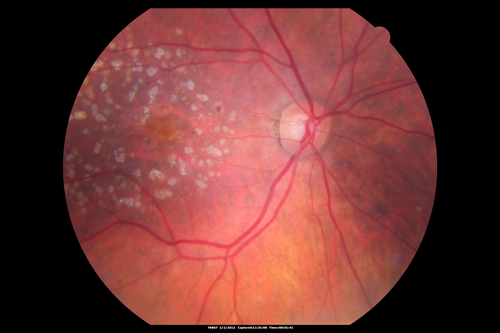
Calcified Macular Drusen - Age Related Macular Degeneration - Dry
74-year-old woman
OD 20/25, OS 20/32
File information
Filename:
drusenca_thmi03.png
Album name:
scohen125
/
Drusen - Calcified - Geographic Atrophy
Filesize:
10402 KiB
Date added:
Mar 20, 2012
Dimensions:
3504 x 2336 pixels
Displayed:
627 times
URL:
https://retinagallery.com/displayimage.php?pid=4614
Favorites:
Add to Favorites