Retina Gallery ~ Full Sized Retina Images

Library of Free, Non-Copyrighted Retina Images and Videos

Choose your language:
Macular Telangiectasis (Group 2a Juxtafoveal Telangiectasis) IR
63-year-old woman has juxtafoveal retinal telangiectasis in both eyes.  She notices her vision a little worse with more distortion and change over the last six months.  

VISUAL ACUITY:  OD 20/40,  OS 20/40.

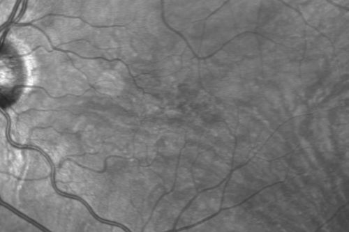
Macular Telangiectasis (Group 2a Juxtafoveal Telangiectasis) IR

63-year-old woman has juxtafoveal retinal telangiectasis in both eyes. She notices her vision a little worse with more distortion and change over the last six months.

VISUAL ACUITY: OD 20/40, OS 20/40.

mactel_mabo02.jpg mactel_mabo03.jpg mactel_mabo04.jpg mactel_mabo05.jpg mactel_mabo06.jpg