Retina Gallery ~ Full Sized Retina Images
Library of Free, Non-Copyrighted Retina Images and Videos
Home
Contact
About Us
Register
Login
Album list
Last uploads
Last comments
Most viewed
Top rated
My Favorites
By date
Search
FAQ
Choose your language:
FILE 10/14
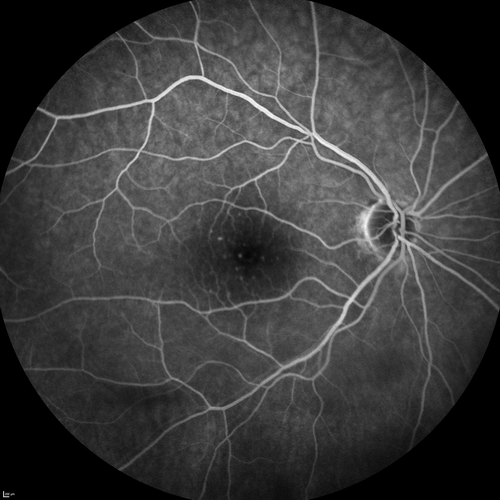
Central Retinal Artery Occlusion with Cilioretinal Sparing - Acute
77-year-old man was doing fine until midnight of last night when he noticed sudden severe vision loss in the left eye. VISUAL ACUITY: OD 20/20, OS 2/200.
File information
Filename:
crao_craspare_hehu10.png
Album name:
scohen125
/
Central Retinal Artery Occlusion - Acute - Cilioretinal Sparing
Filesize:
1770 KiB
Date added:
Sep 05, 2012
Dimensions:
1536 x 1536 pixels
Displayed:
710 times
URL:
https://retinagallery.com/displayimage.php?pid=5288
Favorites:
Add to Favorites