Retina Gallery ~ Full Sized Retina Images
Library of Free, Non-Copyrighted Retina Images and Videos
Home
Contact
About Us
Register
Login
Album list
Last uploads
Last comments
Most viewed
Top rated
My Favorites
By date
Search
FAQ
Choose your language:
FILE 12/21
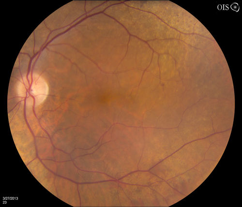
Peripheral Retinal Degeneration
Patient comes in with double vision. VA was 20/20 in both eyes. Fundus exam shows Retinal Degenerative changes in both eyes. Offer to correct double vision with temporary Fresnel prism
File information
Filename:
49637_023.JPG
Album name:
/
Retinal Degeneration
Attribution (if wanted) enter name or institution here: :
Mayo Clinic Jacksonville, Florida
Device with which Image was Captured::
TOPCON TRC 50-EX
Filesize:
4228 KiB
Date added:
Mar 28, 2013
Dimensions:
2392 x 2048 pixels
Displayed:
410 times
URL:
https://retinagallery.com/displayimage.php?pid=6444
Favorites:
Add to Favorites