Retina Gallery ~ Full Sized Retina Images
Library of Free, Non-Copyrighted Retina Images and Videos
Home
Contact
About Us
Register
Login
Album list
Last uploads
Last comments
Most viewed
Top rated
My Favorites
By date
Search
FAQ
Choose your language:
FILE 4/10
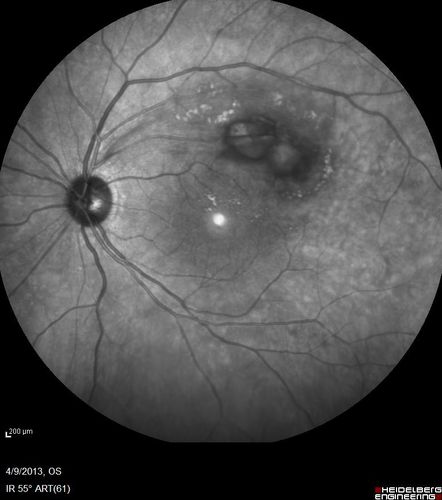
Retinal Arterial Macroaneurysm - Untreated Hypertension (250/135) - Serous Macular Detachment
82 year old asian woman. VA 20/80 Headaches and vision loss for 1 month. Negative medical history but has not been to the doctor for years. (no insurance)
File information
Filename:
MA_HTN_thne_04.jpg
Album name:
scohen125
/
Leaking Macroaneurysm with Very High Blood Pressure (250 mmHg / 135 mmHg)
Filesize:
54 KiB
Date added:
May 03, 2013
Dimensions:
768 x 868 pixels
Displayed:
567 times
URL:
https://retinagallery.com/displayimage.php?pid=6716
Favorites:
Add to Favorites