Retina Gallery ~ Full Sized Retina Images

Library of Free, Non-Copyrighted Retina Images and Videos

Choose your language:
Background Diabetic Retinopathy
Patient with diabetes for over 11-years comes in with blurred vision. Blood sugar control is very poor. VA 20/50- right eye, 20/25-left eye. Fundus exam shows hard exudates with Circinate Rings and edema. Micro-aneurysms and retinal hemorrhage are present in both eyes. Patient will come back for laser treatment.

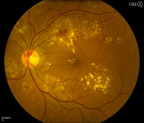
Background Diabetic Retinopathy

Patient with diabetes for over 11-years comes in with blurred vision. Blood sugar control is very poor. VA 20/50- right eye, 20/25-left eye. Fundus exam shows hard exudates with Circinate Rings and edema. Micro-aneurysms and retinal hemorrhage are present in both eyes. Patient will come back for laser treatment.

50204_002.JPG 50204_003.JPG 50204_011.JPG 50204_001.JPG