Retina Gallery ~ Full Sized Retina Images
Library of Free, Non-Copyrighted Retina Images and Videos
Home
Contact
About Us
Register
Login
Album list
Last uploads
Last comments
Most viewed
Top rated
My Favorites
By date
Search
FAQ
Choose your language:
FILE 1/5
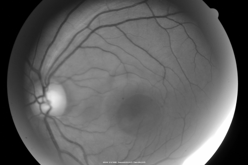
Central Serous Retinopathy
Red Free photo
File information
Filename:
csrrf.png
Album name:
scohen125
/
Central Serous Retinopathy - Pinpoint Leak
Rating (1 votes):
(
Show details
)
Keywords:
Central Serous Retinopathy
Attribution (if wanted) enter name or institution here: :
Central Serous Retinopathy
Device with which Image was Captured::
37 year old man 20/25 vision
Filesize:
4808 KiB
Date added:
Oct 24, 2010
Dimensions:
3500 x 2333 pixels
Displayed:
701 times
URL:
https://retinagallery.com/displayimage.php?pid=21
Favorites:
Add to Favorites