Retina Gallery ~ Full Sized Retina Images
Library of Free, Non-Copyrighted Retina Images and Videos
Home
Contact
About Us
Register
Login
Album list
Last uploads
Last comments
Most viewed
Top rated
My Favorites
By date
Search
FAQ
Choose your language:
FILE 13/14
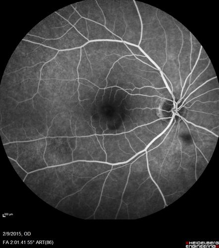
Pre-retinal hemorrhage following Posterior Vitreous Detachment (separation - PVD)
68 year old woman with acute PVD OD and new preretinal hemorrhage - also there is a macular nevus
File information
Filename:
preret_heme_PVD_saga_020915_19.jpg
Album name:
scohen125
/
Traumatic PVD - Pre-retinal Hemorrhage - underneath the ILM
Filesize:
299 KiB
Date added:
Mar 06, 2015
Dimensions:
768 x 868 pixels
Displayed:
608 times
URL:
https://retinagallery.com/displayimage.php?pid=8224
Favorites:
Add to Favorites