Retina Gallery ~ Full Sized Retina Images
Library of Free, Non-Copyrighted Retina Images and Videos
Startseite
Kontakt
About Us
Registrieren
Anmelden
Albenliste
Neueste Uploads
Neueste Kommentare
Am meisten angesehen
Am besten bewertet
Meine Favoriten
Nach Datum
Suche
FAQ
Wähle Sprache:
Datei 30/37
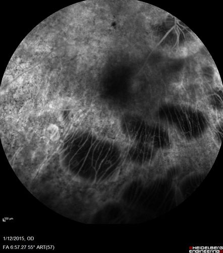
Choroideremia - Female Carrier - Patchy Atrophy of Choroid and RPE - Lyonization
Datei-Information
Dateiname:
choreremiacarrier_makl_011215_30.jpg
Name des Albums:
scohen125
/
Choroideremia - Carrier - Lyonization - X-Chromosome Inactivation
Dateigröße:
296 KB
Hinzugefügt am:
06. März 2015
Abmessungen:
768 x 868 Pixel
Angezeigt:
531 mal
URL:
https://retinagallery.com/displayimage.php?pid=8255
Favoriten:
zu Favoriten hinzufügen