Retina Gallery ~ Full Sized Retina Images
Library of Free, Non-Copyrighted Retina Images and Videos
Home
Contact
About Us
Register
Login
Album list
Last uploads
Last comments
Most viewed
Top rated
My Favorites
By date
Search
FAQ
Choose your language:
FILE 17/28
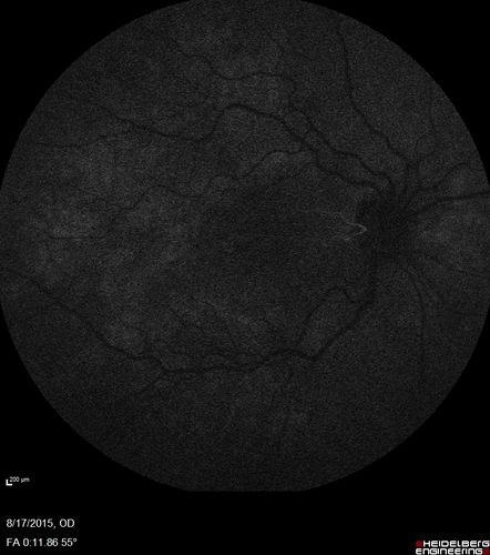
West Nile Virus Multifocal Choroiditis and diabetic retinopathy
Multifocal and clustered focal lesions are from west nile virus. The retinopathy is probably diabetic but could also be related to west nile virus
File information
Filename:
wnv_DM_rydo_081715_12.jpg
Album name:
scohen125
/
West Nile Virus Multifocal Choroiditis in Diabetic
Filesize:
408 KiB
Date added:
Nov 17, 2015
Dimensions:
768 x 868 pixels
Displayed:
456 times
URL:
https://retinagallery.com/displayimage.php?pid=8680
Favorites:
Add to Favorites