Retina Gallery ~ Full Sized Retina Images
Library of Free, Non-Copyrighted Retina Images and Videos
Home
Contact
About Us
Register
Login
Album list
Last uploads
Last comments
Most viewed
Top rated
My Favorites
By date
Search
FAQ
Choose your language:
FILE 5/28
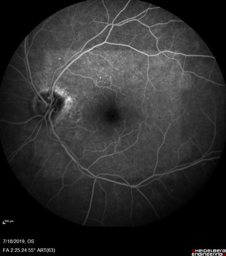
Stellate non-hereditary idiopathic foveomacular retinoschisis (SNIFR) and optic nerve drusen
84 year old man No visual complaints. Not diabetic, cataract surgery 8 years ago. Meds: Omeprazole, Tamsulosin (Flomax)
VA 20/32 OD, 20/20 OS
File information
Filename:
SNIFR_nervedrusen_luhil_071819_24.jpg
Album name:
scohen125
/
Stellate non-hereditary idiopathic foveomacular retinoschisis right eye - optic nerve drusen left eye
Filesize:
246 KiB
Date added:
Apr 23, 2020
Dimensions:
768 x 868 pixels
Displayed:
401 times
URL:
https://retinagallery.com/displayimage.php?pid=14030
Favorites:
Add to Favorites