Retina Gallery ~ Full Sized Retina Images
Library of Free, Non-Copyrighted Retina Images and Videos
Accueil
Contact
About Us
Inscription
Connexion
Albums
Derniers ajouts
Derniers commentaires
Les plus populaires
Les mieux notées
Mes favoris
Par date
Rechercher
FAQ
Choisissez votre langue:
Photo 3/10
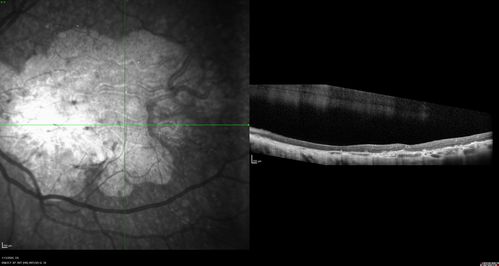
Severe Geographic Atrophy from Dry Age-Related Macular Degeneration
90 year old female with severe vision loss over the last few years.
VA 3/200 OD
1/200 OS
Informations sur l'image
Nom du fichier:
geographic_atrophy_jubro_10.jpg
Nom de l'album:
scohen125
/
Geographic Atrophy from Age-related macular degeneration - Large areas
Taille du fichier:
1149 Ko
Date d'ajout:
27 Avril 2020
Dimensions:
3072 x 1636 pixels
Affichées:
342 fois
URL:
https://retinagallery.com/displayimage.php?pid=14083
Favoris:
Ajouter aux favoris