Retina Gallery ~ Full Sized Retina Images
Library of Free, Non-Copyrighted Retina Images and Videos
Home
Contact
About Us
Register
Login
Album list
Last uploads
Last comments
Most viewed
Top rated
My Favorites
By date
Search
FAQ
Choose your language:
FILE 4/12
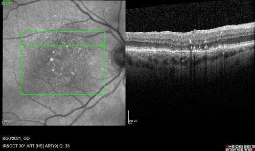
Pigment migration in dry age-related macular degeneration
80 year old female. Dry AMD with GA in the left eye and pigment migration visible on OCT scan.
VA 20/40 OD, 20/160 OS
File information
Filename:
DryAMD-pigmentMigration_maber_10.jpg
Album name:
scohen125
/
Pigment Migration in Dry AMD
Filesize:
76 KiB
Date added:
Oct 11, 2021
Dimensions:
1008 x 596 pixels
Displayed:
297 times
URL:
https://retinagallery.com/displayimage.php?pid=15282
Favorites:
Add to Favorites