Retina Gallery ~ Full Sized Retina Images
Library of Free, Non-Copyrighted Retina Images and Videos
Inicio
Contacto
About Us
Regístrate
Entrar
Lista de álbumes
Últimos archivos
Últimos comentarios
Más vistos
Más valorados
Mis favoritos
Por fecha
Buscar
FAQ
Elige idioma:
Archivo 26/49
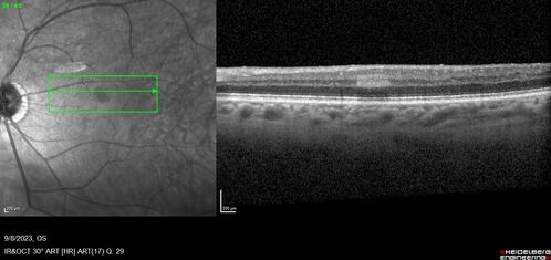
Paracentral acute middle maculopathy - isolated
83 year old man New spot in the vision yesterday left eye.
Medical Hx: Pure Hypercholesterolemia
Systemic Meds: Crestor.
VA OD: Dcc20/20
VA OS: Dcc20/20
IOP: TP: OD:19 OS:10
Informacion de archivo
Nombre del archivo:
PAMM_50895_102423_24.jpg
Nombre de álbum:
scohen125
/
Isolated PAMM lesion
Tamaño del archivo:
97 KiB
Fecha añadida:
Marzo 11, 2024
Dimensiones:
1264 x 596 píxeles
Visto:
89 visitas
URL:
https://retinagallery.com/displayimage.php?pid=17749
Favoritos:
Añadir a favoritos