Retina Gallery ~ Full Sized Retina Images
Library of Free, Non-Copyrighted Retina Images and Videos
Home
Contact
About Us
Register
Login
Album list
Last uploads
Last comments
Most viewed
Top rated
My Favorites
By date
Search
FAQ
Choose your language:
FILE 4/45
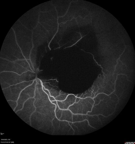
Ruptured Retinal Arterial Macroaneurysm - Submacular hemorrhage and BRAO
81 year old female with vision loss for a few days. Coumadin was high with INR at 3.1 VA 6/200
File information
Filename:
MA-Ruptured1_117262_100923_42.jpg
Album name:
scohen125
/
Ruptured Macroaneurysm and BRAO
Filesize:
399 KiB
Date added:
Dec 21, 2024
Dimensions:
1536 x 1636 pixels
Displayed:
103 times
URL:
https://retinagallery.com/displayimage.php?pid=18393
Favorites:
Add to Favorites