Retina Gallery ~ Full Sized Retina Images

Library of Free, Non-Copyrighted Retina Images and Videos

Wähle Sprache:
Optic Neuritis sentinel event for MS (23 year old female)
23-year-old female contact lens wearer reports recurrent blurry vision with a central

Optic Neuritis sentinel event for MS (23 year old female)

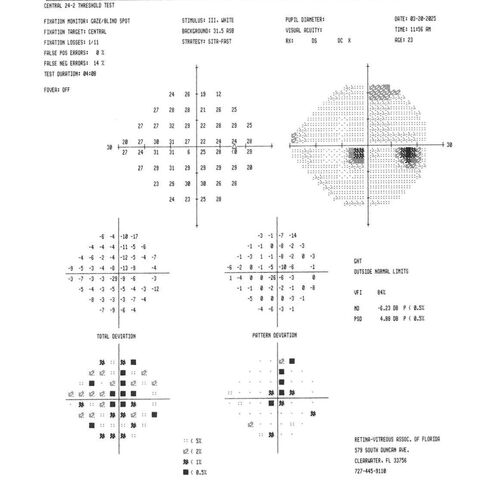
23-year-old female contact lens wearer reports recurrent blurry vision with a central "blob" in the right eye, first occurring in December 2024 for two weeks, then briefly affecting the left eye, and now recurring in the right eye. Symptoms have been painless, with no eye movement discomfort or neurological changes.
Medical/Surgical Hx: Noncontributory
Meds: Lo Loestrin
VA: OD 20/40 PH 20/30; OS 20/25
IOP: OD 17, OS 18

opticneuritis_124345_031725_13.jpg opticneuritis_124345_031725_12.jpg opticneuritis_124345_031725_10.JPG opticneuritis_124345_031725_11.jpg opticneuritis_124345_031725_09.JPG