Retina Gallery ~ Full Sized Retina Images

Library of Free, Non-Copyrighted Retina Images and Videos

Choose your language:
Cotton Wool Spots following cardio-pulmonary bypass
The patient had emergency thoracotomy about 3 weeks ago he had an aortic dissection with a root aneurysm. It had dissected down to the iliacs. The patient had a thoracotomy and aortic valve replacement and large aortic graft.

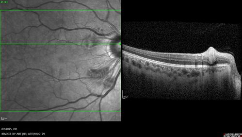
Cotton Wool Spots following cardio-pulmonary bypass

The patient had emergency thoracotomy about 3 weeks ago he had an aortic dissection with a root aneurysm. It had dissected down to the iliacs. The patient had a thoracotomy and aortic valve replacement and large aortic graft.

CWS_postAorticDissection_125569_060625_07.jpg CWS_postAorticDissection_125569_060625_06.jpg CWS_postAorticDissection_125569_060625_05.jpg CWS_postAorticDissection_125569_060625_01.jpg CWS_postAorticDissection_125569_060625_04.jpg