Retina Gallery ~ Full Sized Retina Images
Library of Free, Non-Copyrighted Retina Images and Videos
Home
Contact
About Us
Register
Login
Album list
Last uploads
Last comments
Most viewed
Top rated
My Favorites
By date
Search
FAQ
Choose your language:
FILE 7/25
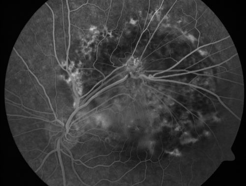
Retinal Pigment Epithelial Dysgenesis
File information
Filename:
rpedysgenesis20110201_0016.jpg
Album name:
scohen125
/
Retinal Pigment Epithelial Dysgenesis
Rating (1 votes):
(
Show details
)
Filesize:
597 KiB
Date added:
Feb 01, 2011
Dimensions:
2588 x 1958 pixels
Displayed:
749 times
URL:
https://retinagallery.com/displayimage.php?pid=1715
Favorites:
Add to Favorites