Retina Gallery ~ Full Sized Retina Images

Library of Free, Non-Copyrighted Retina Images and Videos

Choose your language:
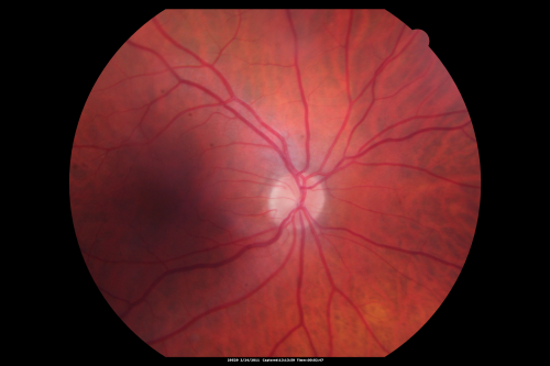
Ocular Ishemic Syndrome - Bilateral Carotid Occlusions - OD 20/60 OS 20/200 Enlarged Foveal Avascular Zone and Temporal Non-perfusion
75-year-old man had laryngeal cancer treated in 15 year ago with radiation.  He recently was told that the carotid circulation is closed off on both sides.  He does have a patent vertebral artery, which is supplying him pretty well and in addition to that his cardiac output is compromised by poor mitral valves.  His consideration is to what can be done about that in the future.  
VISUAL ACUITY:  OD 20/60,  OS 20/200

Ocular Ishemic Syndrome - Bilateral Carotid Occlusions - OD 20/60 OS 20/200 Enlarged Foveal Avascular Zone and Temporal Non-perfusion

75-year-old man had laryngeal cancer treated in 15 year ago with radiation. He recently was told that the carotid circulation is closed off on both sides. He does have a patent vertebral artery, which is supplying him pretty well and in addition to that his cardiac output is compromised by poor mitral valves. His consideration is to what can be done about that in the future.
VISUAL ACUITY: OD 20/60, OS 20/200

ocularischemiacarotids_chbl05.png ocularischemiacarotids_chbl04.png ocularischemiacarotids_chbl03.png ocularischemiacarotids_chbl02.png ocularischemiacarotids_chbl01.png