Retina Gallery ~ Full Sized Retina Images

Library of Free, Non-Copyrighted Retina Images and Videos

Choose your language:
Geographic Atrophy 20/160 Vision
84-year-old woman has age-related macular degeneration in both eyes with foveal atrophy.  She also has a central retinal vein occlusion 
in the left eye for which she had intravitreal Kenalog and finally chorioretinal anastomosis laser a year 
ago.  VISUAL ACUITY:  Vision OD is 20/160, OS is 7/200.

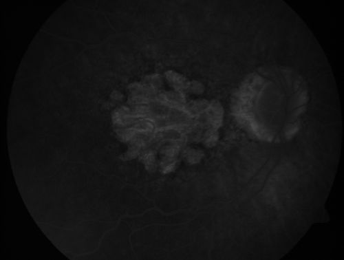
Geographic Atrophy 20/160 Vision

84-year-old woman has age-related macular degeneration in both eyes with foveal atrophy. She also has a central retinal vein occlusion
in the left eye for which she had intravitreal Kenalog and finally chorioretinal anastomosis laser a year
ago. VISUAL ACUITY: Vision OD is 20/160, OS is 7/200.

amdgat_rume07.jpg amdgat_rume06.jpg amdgat_rume05.jpg amdgat_rume04.jpg amdgat_rume03.jpg