Retina Gallery ~ Full Sized Retina Images

Library of Free, Non-Copyrighted Retina Images and Videos

Choose your language:
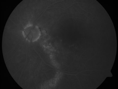
Chronic Central Serous Retinopathy - Gutter in Both Eyes - Treated with PDT - Visudyne
69-year-old man with blurred vision in the right eye for about three weeks.  He had a similar episode about twenty years ago which lasted about six weeks.  He is not taking any steroids.  He takes Lupron injections for his prostate cancer every three months. 

VISUAL ACUITY:  Vision OD is 20/80
FU: Treated with PDT after 6 months of observation with success.  Treatment was done to area between nerve and fovea at 1/2 fluence.
Keywords: csr;visudyne;chronic;gutter;serous

Chronic Central Serous Retinopathy - Gutter in Both Eyes - Treated with PDT - Visudyne

69-year-old man with blurred vision in the right eye for about three weeks. He had a similar episode about twenty years ago which lasted about six weeks. He is not taking any steroids. He takes Lupron injections for his prostate cancer every three months.

VISUAL ACUITY: Vision OD is 20/80
FU: Treated with PDT after 6 months of observation with success. Treatment was done to area between nerve and fovea at 1/2 fluence.

OCT_OD_90DEG.jpg OCT_OD_10DEG.jpg chroniccsredru.jpg chroniccsredru_281629.jpg chroniccsredru_281529.jpg