Retina Gallery ~ Full Sized Retina Images
Library of Free, Non-Copyrighted Retina Images and Videos
Home
Contact
About Us
Register
Login
Album list
Last uploads
Last comments
Most viewed
Top rated
My Favorites
By date
Search
FAQ
Choose your language:
FILE 4/25
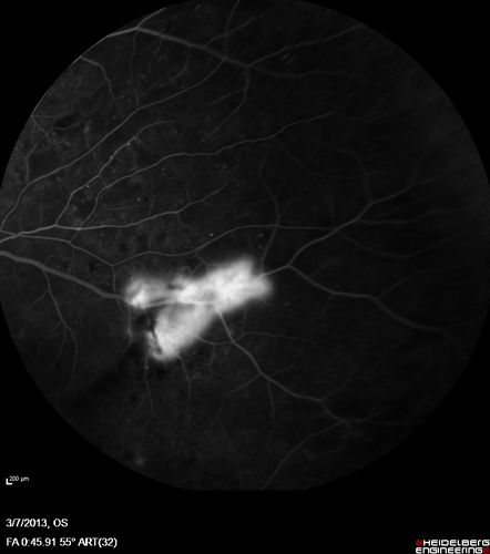
Proliferative Diabetic Retinopathy and Vitreous Hemorrhage - FA shows leakage of dye from NVE
File information
Filename:
pdros_lory_22.jpg
Album name:
scohen125
/
NVE (neovascularization elsewhere) and Vitreous Hemorrhage
Filesize:
212 KiB
Date added:
Apr 25, 2013
Dimensions:
768 x 868 pixels
Displayed:
644 times
URL:
https://retinagallery.com/displayimage.php?pid=6641
Favorites:
Add to Favorites