Retina Gallery ~ Full Sized Retina Images

Library of Free, Non-Copyrighted Retina Images and Videos

Choose your language:
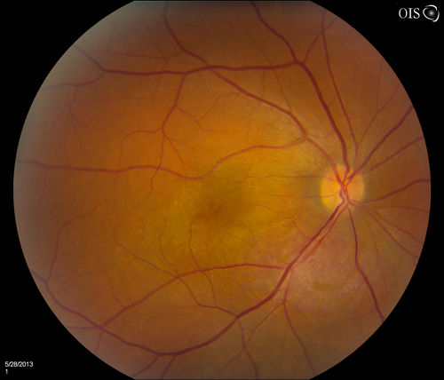
Cavernous Choroidal Hemangioma
Patient presents with Cavernous Choroidal Hemangioma in the right eye. VA is 20/50 after manifest refraction. Patient also notices decreased vision with shadow close to her central vision in the right eye. Patient will undergo photodynamic therapy in the right eye.

Cavernous Choroidal Hemangioma

Patient presents with Cavernous Choroidal Hemangioma in the right eye. VA is 20/50 after manifest refraction. Patient also notices decreased vision with shadow close to her central vision in the right eye. Patient will undergo photodynamic therapy in the right eye.

49843_004.JPG 49843_003.JPG 49843_002.JPG 49843_001.JPG